部門紹介
関節リウマチと脊椎関節炎(強直性脊椎炎・乾癬性関節炎 等)を中心に、薬物治療および手術治療を行なっています。
関節リウマチは『全身性自己免疫疾患;本来ウィルスや細菌から自分を守るための免疫が自分自身を攻撃してしまう病気』の一つであるとともに、『リウマチ性疾患;運動器(骨・軟骨・関節・筋・腱・靭帯・神経)が障害され痛みや機能障害をきたす病気の総称』の一つでもあるため、これらに含まれる疾患の鑑別も行なっています。
関節リウマチは、炎症が続くことで関節の軟骨や骨が破壊されていき(関節破壊)、関節の変形を引き起こします。関節破壊が進行するに従い機能障害も進行し、社会生活(就労、家事、育児 等)のみならず日常生活も大きく障害されていきます。破壊された関節は、薬物治療で元のきれいな関節に戻ることはありません。よって、関節リウマチは早期に発見・診断し、治療を開始する必要があります。残念ながら関節破壊が進行し、このために起きた機能障害に対しては、薬物治療だけではなく手術治療も併用します。
関節リウマチの診断は、臨床症状・局所(特に関節)所見・血液検査・画像検査(レントゲン撮影・超音波検査・MRI 等)を組み合わせて行います。また、治療期間中も定期的に関節所見・血液検査・画像検査を行うことで、常に治療の適正化や副作用の発生に注意しながら診療を行います。
関節リウマチは怪我や風邪のように治癒するというわけにはいきませんが、現在は『寛解;治療を継続することで病気が落ち着いている状態』を目指すことが可能となりました。これは、適切な抗リウマチ治療が行われれば、関節リウマチではない方と全く変わらない生活ができるようになる、ということです。
WoCBA(Women of Child-Bearing Age:妊娠出産育児年齢の女性)の抗リウマチ治療においては、妊娠・出産・授乳・育児期間を考慮して、治療計画を組み立てていきます。
また、近年は超高齢社会となったため、高齢(65歳以上)・超高齢(75歳以上)発症の関節リウマチが増加しています。高齢発症関節リウマチでは診断が遅れたり、診断されても他のご病気のために治療薬の選択や量の調整が難しいことがあります。治療が不十分であったり遅れたりすることで関節破壊が進行してしまうため、より厳密な診療が必要となります。
業務内容
関節リウマチは全身性疾患ですが、病巣の主体は関節です。病状が進行すると体が不自由になり、寝たきりにも至る病気です。近年、寛解を目標にできる薬物も普及してきましたが、関節に対して整形外科的な治療(手術、装具、リハビリテーション)を必要とする患者さんも多く見えます。
運動器を専門とする整形外科医の立場から、関節リウマチに関わり、診療、治療を行います。また付随する全身症状について各科と連携し診療にあたります。
身体障害者手帳、介護保険などの公的援助について助言を行います。
当外来での診療対象疾患一覧
- 関節リウマチ、関節リウマチによる手指、足部変形
- 脊椎関節炎:強直性脊椎炎、乾癬性関節炎
- 掌蹠膿疱症性骨関節炎、SAPHO症候群
- リウマチ性多発筋痛症、RS3PE症候群
薬物療法
関節リウマチ
当外来で使用可能な抗リウマチ薬一覧

メトトレキサートを中心とした内服治療を主体に行いますが、充分な疾患活動性コントロールが得られない場合は、炎症を引き起こす物質であるサイトカイン(TNF-α、IL-6)や炎症を引き起こす細胞(T細胞)を抑制する作用をもつ生物学的製剤(注射薬)の使用も検討します。
また、内服薬でも生物学的製剤と同等の効果を有するJAK阻害薬の使用を検討することもあります。
抗リウマチ薬には、一般的な副作用と各薬剤に特徴的な副作用があります。関節リウマチの疾患活動性を把握するとともに、これらの副作用を極力予防する、また、副作用が出現した際には遅滞なく対応することで重症化を抑制するために、治療開始前はもちろんのこと治療期間中も定期的に検査を行います。
強直性脊椎炎
強直性脊椎炎の治療には、非ステロイド性抗炎症鎮痛薬(NSAID)・抗TNF-α阻害薬を使用しています。
強直性脊椎炎は特定疾患治療研究事業に申請することで、補助が受けられる場合があります。特定疾患治療研究事業とは、保険診療において患者さんの治療費の自己負担の一部を国と都道府県が公費負担として助成する制度です。
詳しくは難病情報センター(https://www.nanbyou.or.jp/)を参照ください。
乾癬性関節炎
乾癬性関節炎の治療では当院皮膚科との院内連携を行なっており、定期的に合同カンファレンスも行なっています。関節・背椎症状と皮膚・爪症状の状態に応じて、非ステロイド性抗炎症鎮痛薬(NSAID)・メトトレキサート(MTX)・抗TNF-α阻害薬の導入や調整、光線治療・PDE4阻害薬・非抗TNF-α阻害薬(抗IL-17阻害薬・抗IL-23阻害薬 等)の導入や調整を行います。
手術治療
関節リウマチによる足部変形
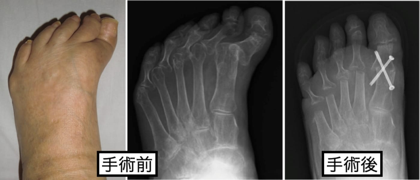
当科では、関節リウマチによる前足部変形に対して、従来行われていた第1MTP関節固定術と第2〜5中足骨頭切除による切除関節形成術を組み合わせた足趾形成術も行なっております(下図)が

抗リウマチ治療により、疾患活動性が落ち着いている場合や足趾関節の破壊が高度でなければ、可能な限り関節温存型の足趾形成術を行なっています(下図)。

足趾関節を温存することで、足部の踏み返し運動の改善が期待できるため、歩容の改善も期待できます。また、中足骨頭を残す際に骨頭の配列も矯正するため、足底部の有痛性胼胝の自然軽快も期待できます(下図)。

リウマチによる手部変形
リウマチによるMP関節の脱臼、尺側偏位を、シリコン人工関節を用いて手術を行った例です。
機能も大切ですが、手は一目にも触れるところです。人前に変形を気にせず、手を出せるようになりました。

リウマチによる肘部変形
適応あれば、人工関節を用いた再建術を行っています。術後は上肢のリハビリテーションに特化したハンドセラピストによる後療法を行っています。

診療日時・受診方法
火曜日、木曜日に整形外来内で行っています。
担当医
- 横井 達夫(日本整形外科学会リウマチ医 リウマチ財団登録医)
診療日時
- 火曜日・木曜日:横井 達夫
- 初診は8:30~11:00受付
かかりつけ医より病診連携を通じて予約が必要 - 再診は予約制
受診方法
整形外来受付、または病診連携室にご連絡ください。









